LIFE SAVING RESPIRATORY CARE
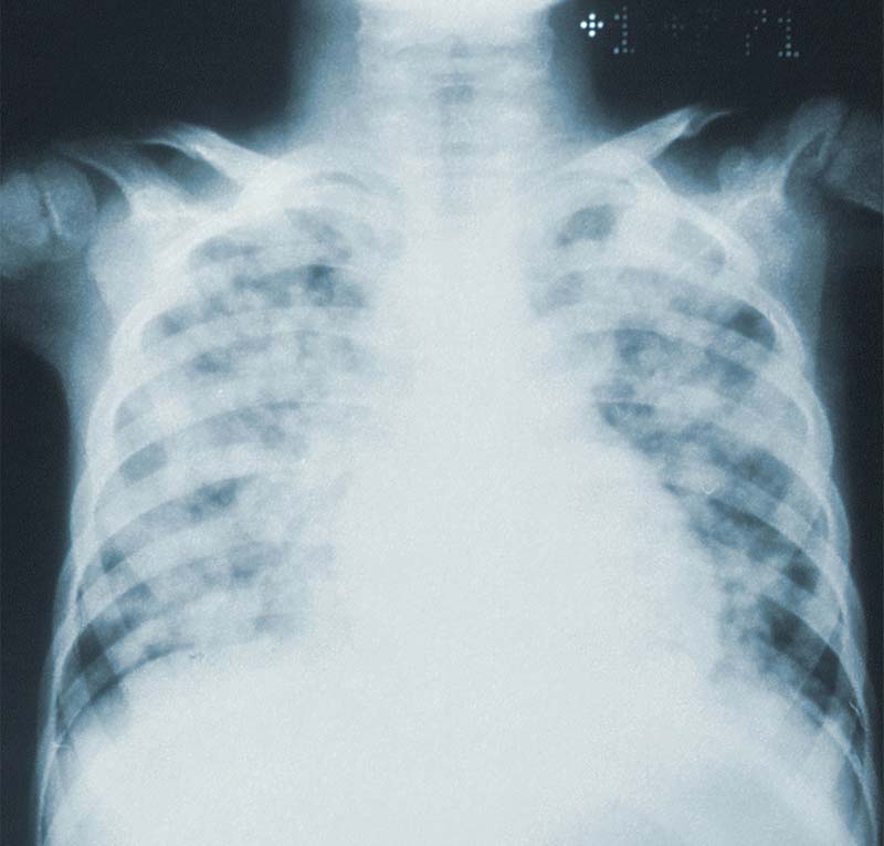
Acute respiratory distress syndrome (ARDS) is a life-threatening form of non-cardiogenic respiratory failure that affects both children and adults, typically arising in the setting of severe illness, trauma, or sepsis. The syndrome results from diffuse alveolar-capillary membrane damage, triggered by systemic inflammation, aspiration, infection, or trauma. This cascade leads to increased alveolar permeability, pulmonary edema, loss of surfactant, and impaired lung compliance, causing severe ventilation–perfusion (V/Q) mismatch and hypoxemia. The consequences include multiorgan dysfunction, prolonged mechanical ventilation, and high mortality, with survivors at risk for long-term pulmonary and neurocognitive impairments.
